Skip Menu
Continue
  • 39200 Liberty Street,
  • Suite D,
  • Fremont, CA 94538
  • Home
  • About Us
    • Our Office
    • Office Tour
    • New Patients
    • Smile Gallery
    • Dental Videos
    • Testimonials
  • Meet Dr. Gulati
    • Archana Gulati, DDS
  • Services
      • Restorations
      • Cleanings & Prevention
      • Periodontics
      • Cosmetic Dentistry
      • Oral & Maxillofacial Surgery
      • Dentures
  • Family Dentistry
  • Children's Dentistry
    • Baby Bottle Tooth Decay
    • Caring For Your Child’s Teeth
    • Bruxism or Tooth Grinding in Children
    • Your Child’s First Visit
    • Fluoride
    • Good Diet
    • How To Prevent Cavities
    • Sealing Out Tooth Decay
    • Sippy Cups
    • What’s The Best Toothpaste For My Child?
    • Why Are Primary Teeth Important?
  • Financing
  • Contact
    • Contact Us
    • Request Appointment

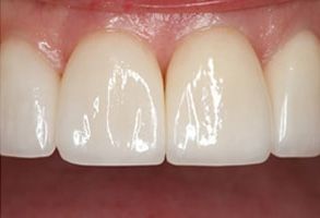
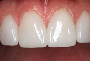
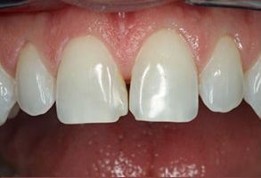
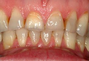
Smile Gallery

Additional Information

Our Location

39200 Liberty Street
Suite D
Fremont, CA 94538
(510) 230-0202

Follow Us